Υπερπαραθυρεοειδισμός .
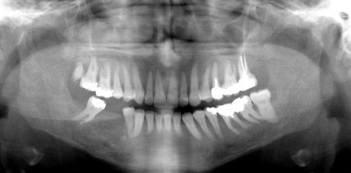
- Διακρίνεται σε πρωτοπαθή και δευτεροπαθή. Η αυξημένη παραγωγής της παραθορμόνης προκαλεί γενικευμένη οστική αραίωση (οστεοπενία), οστικό πόνο, παθολογικά κατάγματα και υπερασβεστιαιμία.
- Παρατηρείται λέπτυνση των συμπαγών πετάλων και οστική αραίωση της μυελώδους μοίρας με αποτέλεσμα την ακτινογραφική εικόνα “τριμμένου γυαλιού”.
- Κοκκώδης εμφάνιση των οστών του κρανίου.
- Απώλεια της lamina dura. Λέπτυνση του κάτω χείλους της κάτω γνάθου.
- Σε προχωρημένο στάδιο, μπορεί να εμφανιστούν εντοπισμένες διαυγάσεις με σαφή όρια (καστανόχρωμοι όγκοι- brown tumors).
- Μετά από επιτυχημένη θεραπεία η ακτινογραφική εικόνα των οστών επανέρχεται στο φυσιολογικό.

