Πολφόλιθοι .

  • Οι πολφόλιθοι αποτελούν εστίες ενασβεστίωσης εντός του πολφού του δοντιού.
  • Η αιτία του σχηματισμού τους είναι άγνωστη. Ποικίλλουν σε μέγεθος, με μερικούς να έχουν διάμετρο 2 ή 3 mm, σχεδόν καλύπτοντας τον πολφικό θάλαμο.
  • Μπορεί να εμφανιστούν σε ένα μόνο δόντι ή σε πολλά δόντια.
  • Ακτινογραφικά απεικονίζονται σαν στρογγυλές ή ωοειδείς ακτινοσκιάσεις εντός του πολφικού θαλάμου ή των ριζικών σωλήνων.
  • Δεν απαιτείται θεραπεία. Η ύπαρξη τους μπορεί να δημιουργήσει επιπολοκές κατά την ενδοδοντική θεραπεία.

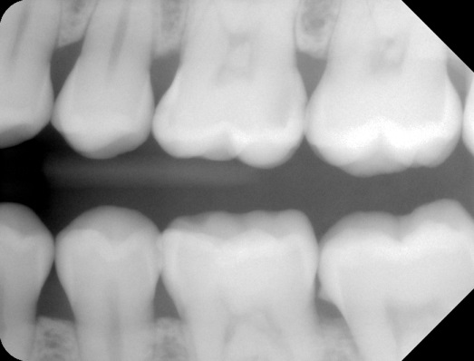
Περιστατικό 1

Ασθενής 22 ετών με εντοπισμένους πολφόλιθους στους άνω γομφίους

Περιστατικό 2

Πολφόλιθοι