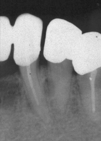
Πλάγια ριζική κύστη .

  • Είναι οδοντογενής κύστη που εντοπίζεται κατά μήκος  της ρίζας ενός μη ζωντανού  δοντιού.
  • Συνήθως αναπτύσεται στην έξοδο ενός παράπλευρου ριζικού σωλήνα ενός δοντιού με νεκρό πολφό.
  • Ακτινογραφικά εμφανίζεται ως μια μικρή μονόχωρη ακτινοδιαύγαση με σαφή και συνήθως υπεροστικά όρια.

Διαφορική Διάγνωση

Περιστατικό 1

Περιστατικό πλάγιας ριζικής κύστης