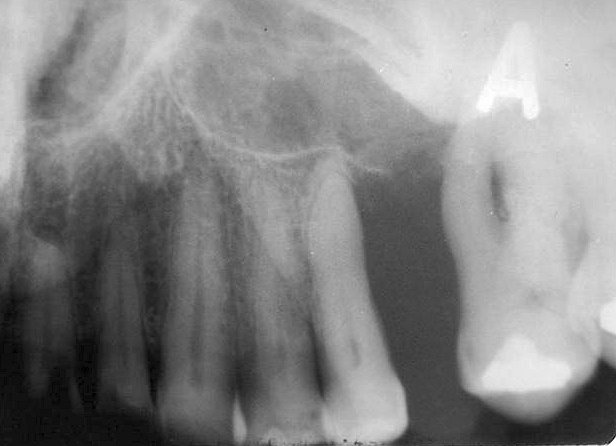
Κεντρικό Γιγαντοκυτταρικό κοκκίωμα (μονόχωρο) .
- Είναι αντιδραστικής μάλλον αιτιολογίας. Εμφανίζεται σε νεαρά άτομα (σπάνιο μετά τα 30 έτη).
- Συνηθέστερη εντόπιση η κάτω γνάθος.
- Πιθανές επιδράσεις στα παρακείμενα δόντια: μετατόπιση, απορρόφηση ριζών και απώλεια της lamina dura.
- Αρχικά η βλάβη απεικονίζεται σαν μονόχωρη διαύγαση, με την αύξηση της αλλοίωσης μετατρέπεται σε πολύχωρη με τη μορφή της κερήθρας.
- Η βλάβη έχει ακανόνιστο σχήμα, συχνά με ασαφή όρια.
- Η αλλοίωση μπορεί να λάβει μεγάλες διαστάσεις και να προκαλέσει διόγκωση.

