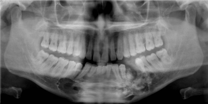
Ενασβεστιούμενος Επιθηλιακός Οδοντογενής όγκος (Όγκος του Pindborg) .
- Σχετικά σπάνιος οδοντογενής όγκος.
- Απαντάται συνήθως σε άτομα μέσης ηλικίας.
- Η κάτω γνάθος προσβάλλεται συχνότερα.
- Ακτινογραφικά, ο όγκος απεικονίζεται σαν μικτή οστεολυτική – οστεοπλαστική αλλοίωση, συχνά με σαφή όρια. Εντός της οστεόλυσης παρατηρούνται πολλές διάσπαρτες ακτινοσκιερές εστίες ποικίλου μεγέθους και πυκνότητας.
- Μπορεί να προκαλέσει μετατόπιση των παρακειμένων δοντιών και απορρόφηση των ριζών τους.

