Διάχυτη οστεϊνική-οστική δυσπλασία (μικτός τύπος) .

  • Η διάχυτη οστεϊνική-οστική δυσπλασία είναι μια καλοήθης κατάσταση που συνήθως εντοπίζεται σε πολλές περιοχές των γνάθων.
  • Οι βλάβες εντοπίζονται αμφοτερόπλευρα και συμμετρικά και συνέχονται με τα ακρορρίζια των δοντιών εάν υπάρχουν.
  • Είναι κλινικά η πιο εκτεταμένη και διάχυτη μορφή της οστεϊνικής δυσπλασίας.
  • Τα παρακείμενα δόντια είναι συνήθως ζωντανά και δεν υφίστανται παρεκτόπιση ή απορρόφηση των ριζών τους.
  • Ορισμένες φορές μπορεί να προκληθεί διόγκωση της γνάθου.

Ακτινογραφική Εικόνα

  • Αρχικό στάδιο: Διαύγαση με μάλλον σαφή όρια.
  • Ενδιάμεσο στάδιο: Εναπόθεση σκιάσεων στο κέντρο της βλάβης (συνδυασμός διαύγασης και σκίασης).
  • Τελικό στάδιο: Σκίαση  με σαφή όρια που περιβάλλεται από διαυγαστική άλω.

Περιστατικό 1

Γυναίκα 45 ετών, λευκής φυλής. Παρατηρούνται μικτές περιακρορριζικές αλλοιώσεις στην κάτω γνάθο αμφοτερόπλευρα.

Περιστατικό 2

Γυναίκα 45 ετών, λευκής φυλής. Παρατηρούνται μικτές περιακρορριζικές αλλοιώσεις στην κάτω γνάθο αμφοτερόπλευρα.

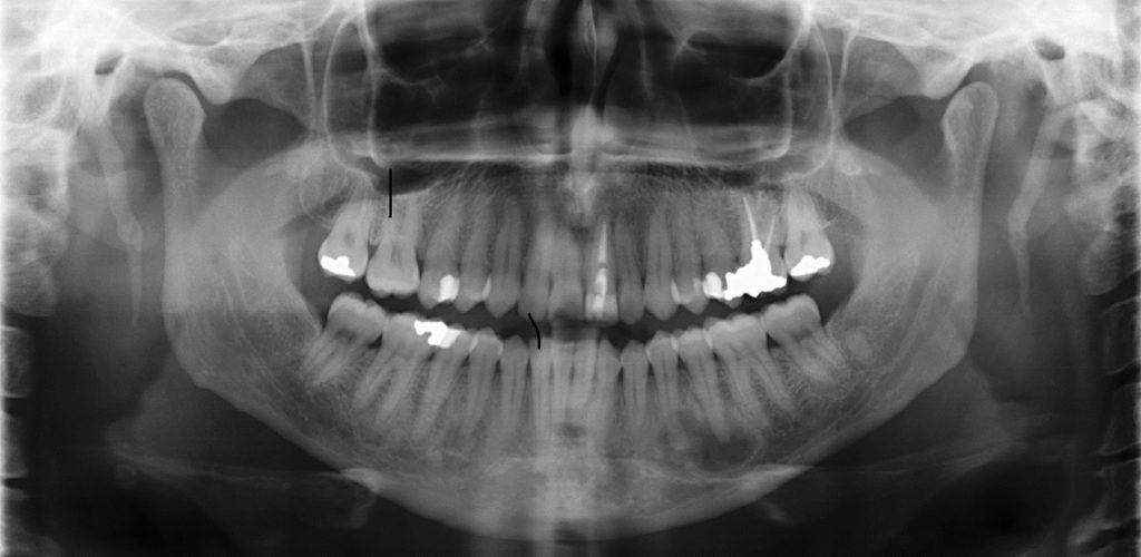
Περιστατικό 3

Γυναίκα 40 ετών. Μικτές βλάβες στα ακρορρίζια των προσθίων δοντιών κάτω και στον δεξιό 1ο γομφίο (46).