Ακρορριζική κύστη .
- Είναι οδοντογενής φλεγμονώδης κύστη που σχετίζεται με το ακρορρίζιο δοντιών με νεκρό πολφό και αποτελεί εξέλιξη του περιακρορριζικού κοκκιώματος.
- Προέρχεται από κύτταρα των επιθηλιακών υπολειμμάτων του Malassez που εντοπίζονται στη ρίζα δοντιού με νέκρωση του πολφού και τα οποία πολλαπλασιάζονται με αποτέλεσμα την δημιουργία της κύστης.
- Είναι η πιο συχνή κύστη που αναπτύσσεται στις γνάθους. Υπολογίζεται ότι σε ποσοστιαία αναλογία αποτελεί περίπου το 55% έως και το 70% του συνόλου των κύστεων των γνάθων. Το μέγεθός τους, συνήθως δεν ξεπερνά τα 1,5-2 cm, αλλά υπάρχουν περιπτώσεις που μπορεί να φθάσει ακόμα και τα 5 cm.
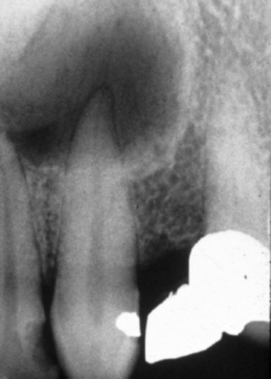
- Εχει παρόμοια ακτινογραφική εικόνα με το ακρορριζικό κοκκίωμα: σαφώς περιγεγραμμένη διαύγαση που περιβάλλεται συνήθως από ακτινοσκιερή γραμμή.
- Οι εκτεταμένες ακρορριζικές κύστεις προκαλούν έκπτυξη, λέπτυνση και πιθανόν και λύση των συμπαγών πετάλων.
- Το ακρορριζικό τμήμα του δοντιού εισέρχεται στη διαύγαση και συνήθως παρατηρείται απώλεια της lamina dura του υπεύθυνου δοντιού
- Είναι δυνατόν να παρεκτοπίζει τις ρίζες των παρακειμένων δοντιών αλλά σπανίως προκαλεί απορρόφηση αυτών.

