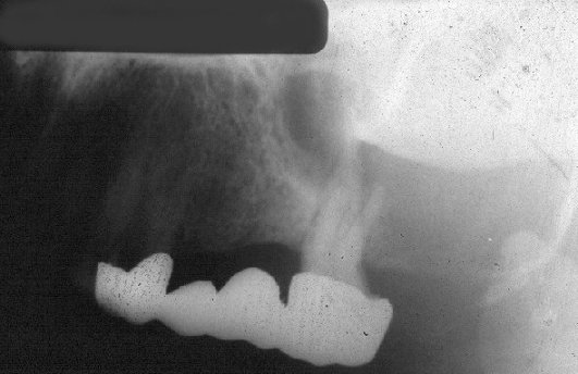
Αδαμαντινοβλάστωμα (Μονόχωρο) .
- Καλοήθης, τοπικά επιθετικός οδοντογενής όγκος. Συνήθως αναπτύσσεται αργά χωρίς να προκαλεί πόνο.
- Μπορεί να εμφανιστεί σε οποιαδήποτε ηλικία, συνήθως σε άτομα 20-60 ετών.
- Αν και είναι καλοήθης όγκος συνήθως διηθεί τους παρακείμενους ιστούς.
- Το 85% αναπτύσσονται στο σώμα της κάτω γνάθου, συνήθως στην περιοχή των γομφίων, στη γωνία και στον κλάδο. Στην άνω γνάθο συνήθως στην περιοχή του τρίτου γομφίου.
- Ακτινογραφικά στα αρχικά στάδια η αλλοίωση είναι μονόχωρη ακτινοδιαύγαση ενώ σε μεταγενέστερα στάδια εμφανίζονται εντός της διαύγασης οστικά διαφράγματα που μετατρέπουν την αλλοίωση σε πολύχωρη.
- Στην υπολογιστική τομογραφία παρατηρείται έκπτυξη, λέπτυνση και λύση των συμπαγών πετάλων καθώς και του κάτω χείλους της γνάθου.
- Συνηθισμένο εύρημα είναι η απορρόφηση των ριζών των παρακειμένων δοντιών.
- Σε προχωρημένα στάδια διηθεί το παρακείμενο οστικό υπόστρωμα και η βλάβη επεκτείνεται στα μαλακά μόρια
- Μετά την χειρουργική αφαίρεση μπορεί να υποτροπιάσει.

